|

Coupe sagittale médiane
|

Coupe axiale passant par les cornes antérieures des ventricules latéraux
|

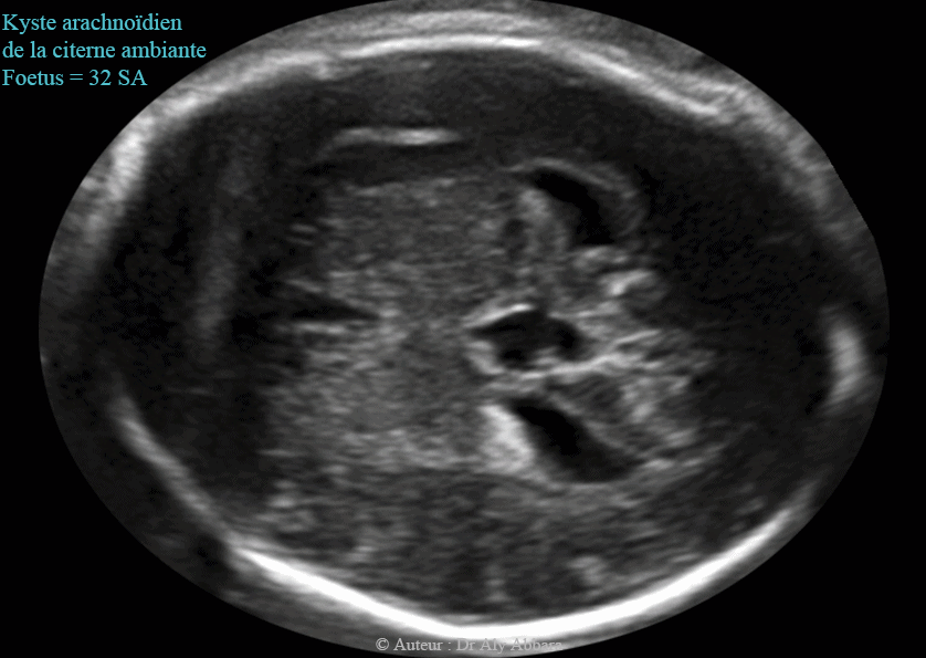
Coupe axiale passant par les cornes postérieures des ventricules latéraux
|
|
Images échographiques animées montrant la présence d'un probable kyste arachnoïdien cérébral (ou neuroépithélial) évoluant dans la citerne ambiante (en arrière du corps calleux) et mesurant 11 x 18 x 9 mm et associé à une ventriculomégalie bilatérale se caractérisant par l'élargissement des deux carrefours ventriculaires postérieurs qui mesurent 11 - 12 mm de largeur.
Le 3e et le 4e ventricules ne sont pas dilatés.
Il s'agit d'une anomalie isolée chez un foetus de 32 SA; aux échographies du 2e trimestre ce kyste n'était présent.
Kystes arachnoïdiens (arachnoid cyst) :
Les kystes arachnoïdiens sont rares et souvent mis en évidence au cours de l'échographie du 3e trimestre : plus de 90 % des kystes arachnoïdiens sont découverts après la 20e semaines de gestation, mais quelques cas rares ont été rapportés dans la littérature dès le premier trimestre. Ils sont plus fréquents chez les foetus du sexe masculin et plus fréquents dans l'hémisphère gauche.
Les kystes arachnoïdiens sont des formations kystiques bénignes à paroi fine, sans vascularisation en Doppler couleur ; contenant du liquide céphalo-rachidien, pour cette raison, ils apparaissent à l'échographie comme des formations kystiques intra-cérébrales anéchogènes ; habituellement uniques, uniloculaires, mais parfois polylobées (polyloculaires) ou multiples ; de taille très variable, parfois très volumineux ; primitifs (malformation de la méninge primitive) ou secondaires (acquis) suite à une infection cérébrale, un traumatisme ou une hémorragie (enkystement du liquide céphalo-rachidien dans des adhérences arachnoïdienne).
Les vrais kystes arachnoïdiens se développent aux dépens des méninges (de l'arachnoïde), donc ils peuvent apparaître dans toutes les localisations où existent ces dernières et indépendamment du système ventriculaire (ne communiquent pas avec le système ventriculaire), mais selon leur localisation, ils peuvent être à l'origine de phénomènes compressifs (effet de masse sur les structures adjacentes) entraînant des ventriculomégalies, voire des hydrocéphalies.
Localisation : les 2/3 des kystes arachnoïdiens sont supratentorielles et les 1/3 sont sous tensoriels (dans la fosse postérieure).
Parmi les localisations supratentorielles : dans la fissure choroïdienne ; dans les régions pariétales et occipitales ; dans la scissure de Sylvius et la fosses cérébrale moyenne ; dans la citerne optochiasmatique la région suprasellaire ; la citerne quadrijumelle (citerne ambiante) et dans la région inter hémisphérique.
Bien sûr, les kystes arachnoïdiens peuvent apparaître dans la fosse postérieure du cerveau (kystes arachnoïdiens sous tensoriels ou infratentoriels).
GUIDICELLI (1982) a réalisé un regroupement symptomatique et anatomopathologique des formations kystiques cérébrales supra-tensoriels ; pour lui, les kystes arachnoïdiens vrais sont le plus souvent situés au niveau des espaces périphériques superficiels (particulièrement au niveau de scissure de Sylvius) et souvent latents, alors que les kystes qui se développent aux dépens d'autres structures cérébrales (les kystes neuroépithéliaux) se situent majoritairement sur le plan médiane, surtout dans la région sellaire ; ces kystes sont cliniquement plus symptomatique par effet de masse sur les structures avoisinantes.
L'hydrocéphalie associée aux kystes arachnoïdiens est souvent liée à l'effet de masse sur trou de Munro et/ou aqueduc de Sylvius perturbant le drainage du liquide céphalo-rachidien ; l'hydrocéphalie est observée dans moins de 2 % des cas.
Dans le syndrome d'Aicardi lié au chromosome X (chez le foetus du sexe féminin) on trouve l'association suivante : une agénésie partielle du corps calleux ; des hétérotopies sous épendymaires ; des kystes arachnoïdiens ; une dilatation ventriculaire ; une microcéphalie et une polymicrogyrie.
La présence d'un kyste arachnoïdien doit inciter à l'étude complète du cerveau foetal, en particulier le corps calleux. Il faut faire la distinction entre un kyste arachnoïdien rétrocérébelleux (sous tentoriel) et la malformation de Dandy-Walker et ses variantes.
L'association (kyste arachnoïdien + anomalies morphologiques) augmente la suspicion sur la présence d'une aneuploïdie (trisomies 8, 13, 18, et 20).
Il existe certains syndromes génétiques caractérisés par l'apparition de kystes arachnoïdiens : neurofibromatose type I ; kyste arachnoïdien familial ; des mutation génétique de type Xq22, 9q22, 14q32.3, 11p15.
Le diagnostic différentiel comprend : kyste de plexus choroïde ; porencéphalie kystique ;
kyste glioépendymaire ; kyste neuroépithélial ; malformation de Dandy-Walker ; schizencéphalie ; tératome intracrânien ; élargissement du cavum septum pellucidum et le cavum vergae.
Les kystes arachnoïdiens font partie des formations kystiques cérébrales unilatéraux ou centraux supratentorielles et des
formations kystiques cérébrales infratentoriels centraux.
|
- Références :
- Catherine Garel, Marie Cassart. Imagerie du foetus au nouveau-né. Lavoisier Médecine Sciences 2016.
- Philippe Bourgeot, Bernard Guérin du Masgenêt. Yann Robert, Véronique Houfflin-Dbarge, Yves Ardaens. " Échographie en pratique obstétricale ". Elsevier Masson. 5° édition 2014
- Jean-Philippe Bault, Laurence Loeuillet, Guillaume Benoist. Le Cerveau foetal normal et pathologique ; aspects échographiques. p:316-317. sauramps médical 2014.
- PJ. Woodward, A. Kennedy, R. Sohaey, J. L.B. Byrne, K. Y. Oh, M.D Puchalski, T. C Winter, L.A McLean. Diagnostic Imaging Obstetrics. 2:92-95. AMIRSYS 2011.
- Beryl Benacerraf. Ultrasound of fetal syndromes. p:21-25. Churchill Livingstone Elsevier 2008.
- A.Couture, C. Veyrac, C. Baud. Échographie cérébrale du foetus au nouveau né. p:316-317. sauramps médical 1994.
|
| |
|
Auteur Dr Aly ABBARA
16 Juin, 2016 |
|
|
Paris / France
|