| |
|
 |
|
- Chez le foetus, les mouvements respiratoires peuvent être observés dès la 13e - 14e semaines d'aménorrhée, mais ils sont plus fréquents au cours du 3e trimestre de la grossesse, particulièrement près du terme, où ils s'organisent en bouffées ou épisodes répétitives.
Lors des mouvements respiratoires on observe échographiquement, sur la coup longitudinale du tronc foetal un abaissement de la coupole diaphragmatique accompagné d'une expansion de la cage thoracique (inspiration) puis une élévation de la coupole diaphragmatique et une dépression de la cage thoracique (expiration).
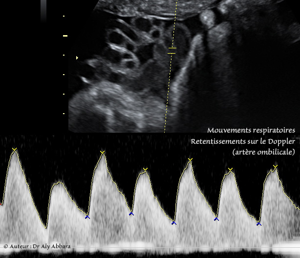
L'analyse spectrale du Doppler de la circulation artérielle fœtale montre que les mouvements respiratoires se manifeste par une irrégularité de la hauteur des pics systoliques et diastoliques en rapport avec les modifications de la pression dans la cage thoracique.
L'hoquet chez le foetus fait partie des mouvements respiratoires qui jouent le rôle de l'entraînement des muscles respiratoires et la maturation pulmonaire.
|
Références
1-Trésor de la Langue Française
2- Le grand Robert de la langue française version électronique 3.1.0 (7.0).
3- Philippe Bourgeot, Bernard Guérin du Masgenêt, Yann Robert, Véronique Houfflin-Debarge, Yves Ardaens. Échographie en pratique obstétricale. p:283-284. Imagerie médicale PRECIS, Elsevier Masson 2014.
|
|
Auteur Dr Aly ABBARA
4 Janvier, 2017 |
|
|
Paris / France
|