|
|
|
|
 |
|
 |
|
|
|
Aspect échographique de l'utérus 40 jours après la réalisation
des premiers vidéos : on observe une régression spontanée du
volume de l'anomalie vasculaire utérine |
|
 |
Aspect échographique de l'utérus 40 jours après la réalisation
des premières images : on observe une régression spontanée
du volume de l'anomalie vasculaire utérine |
|
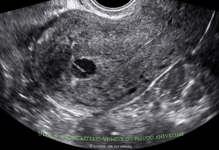
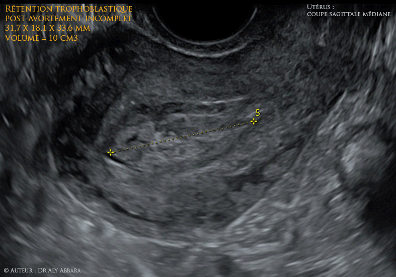
- Anomalie vasculaire utérine de type " shunt artério-veineux ou pseudo anévrysme " mis en évidence deux semaines après une révision utérine (par simple aspiration) pour rétention trophoblastique de 10 cm3 suite à un avortement incomplet (6 semaines auparavant) d'une grossesse de 8 SA.
La troisième image (autodiaporama) montre l'aspect de la rétention trophoblastique chez la même patiente, 4 jours avant l'acte opératoire.
- Ce shunt artério-veineux a été mis évidence fortuitement, lors de la consultation post-opératoire d'une révision utérine par aspiration réalisée deux semaines auparavant. Patiente sous contraception estroprogestative. Les premières règles post opératoire n'ont pas eu lieu encore.
- L'échographie met en évidence la présence, au font de la cavité utérine, d'une formation arrondie, anéchogène, partiellement cloisonnée avec un liquide aux mouvements tourbillonnants. Le Doppler couleur montre qu'il s'agit d'une pathologie vasculaire débutant dans la cavité utérine et traversant verticalement le tiers de l'épaisseur myométriale profonde.
L'analyse du spectre-Doppler est en faveur de flux artériels tourbillonnants et se connectant à la circulation artérioveineuse située dans la couche profonde du myomètre.
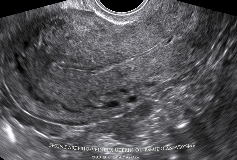
- Évolution de ce shunt artério-veineux post-aspiaration trophoblastique :
- Ménorragie importante lors des premières règles survenant un mois après l'acte opération.
- Normalisation de l'abondance des règles à partir de la deuxième menstruation post-opératoire :
- L’échographie réalisée dans la phase proliférative suivante cette deuxième menstruation confirme la normalisation spontanée de l'aspect de l'endomètre ; le Doppler en Flow-Dynamic révèle la persistance du shunt artério-veineux dans le myomètre de la paroi postérieure de l'utérus, mais d'un volume nettement réduit comparé au volume initial, 40 jours auparavant.
- Le pseudo-anévrysme
(faux anévrysme) est appelé également : angiome pulsatile, fistule artério-veineuse, anévrysme cirsoïde, hémangiome caverneux.
Il résulte d'une effraction partielle, traumatique ou infectieux de la paroi artérielle, avec ou sans connexion au réseaux veineux (d'où le nom : fistule artério-veineuse).
-
Ces anomalies vasculaires artério-veineuses intra-utérines ont été décrites suites à :
- Fausses couches spontanées ; IVG ; grossesse molaire ou de maladies trophoblastiques gravidiques.
- Après un geste traumatique intra-utérine comme le curetage utérin ou l'hystéroscopie dans le cadre de la prise en charge d'une rétention placentaire post avortement ou accouchement par voie naturelle ou par césarienne.
- Dans le cadre de la prise en charge médicamenteuse (méthotrexate) des grossesses extra-utérines cornuales.
- L’infection utérine peut également être à l’origine de faux anévrysme par développement d’une néo-angiogenèse associée à une nécrose localisée de la paroi artérielle.
|
-
Référence :
|
Journal de Gynécologie Obstétrique et Biologie de la Reproduction
Vol 35, N° 6 - octobre 2006
pp. 614-620
Doi : JGYN-10-2006-35-6-0368-2315-101019-200605053
Faits cliniques
Les malformations artério-veineuses intra-utérines
À propos de 4 cas
|
|
H. Yahi-Mountasser [1], P. Collinet [1], M. Nayama [1], M. Boukerrou [1], Y. Robert [2], P. Deruelle [1]
[1] Clinique de Gynécologie Obstétrique, Maternité Jeanne de Flandre, CHU de Lille, 1, rue Eugène-Avinée, 59037 Lille Cedex.
[2] Clinique d’Imagerie Médicale, Maternité Jeanne-de-Flandre, CHU de Lille, 1, rue Eugène-Avinée, 59037 Lille Cedex.
|
http://www.em-consulte.com/en/article/117962
|
|
Auteur Dr Aly ABBARA
22 Octobre, 2018 |
|
|
Paris / France
|