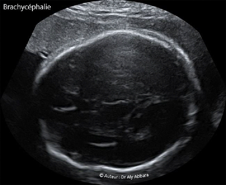
Images échographiques montrant un crâne fœtal brachycéphale (à 26 SA).
Index céphalique = 87
A comparer aux crânes dolichocéphales
Brachycéphalie (brachycephaly ; قِصَر الرأس) :
(du grec : brachus = court ; kephalé = tête)
Description : Il s'agit d'un crâne court d'avant en arrière avec parfois l'impression d'un crâne tronqué en arrière, dans la région occipitale ; la plus grande longueur (diamètre occipito-frontale) l'emporte de peu sur la plus grande largeur (diamètre bipariétal).
En biométrie échographique obstétricale la brachycéphalie est
définie par un index céphalique supérieur à 80 et la dolichocéphalie (crâne allongé d'avant en arrière) est définie par un index céphalique inférieur à 75,9 selon Hadlock.
D'autres références échographiques parlent de dolichocéphalie quand IC < 75, et de brachycéphalie quand IC est > 85.
L'index (ou indice) céphalique (IC) de Hadlock = (BIP/DOF) x 100
BIP = diamètre bipariétal ; DOF = diamètre occipito-frontal.
Variantes :
Il existe de multiples définitions de la dolichocéphalie et la brachycéphalie selon les hauteurs, la population étudiée et parfois selon le sexe.
Les anthropologues classent les crânes humains selon la valeur de l'indice céphalique en trois catégories : dolichocéphales, mésocéphales et brachycéphales ; les valeurs les plus courantes :
IC < 75 : dolichocéphale
75 < IC < 80 : mésocéphale ou mésaticéphale
IC > 80 : brachycéphale
D'autres parlent de dolichocéphalie quand IC est inférieur à 75, et de brachycéphalie quand IC est supérieur à 81.
Selon le sexe,
l’indice céphalique moyen d’un homme est 77.9%, celui d’une femme 78.4%. Un crâne brachycéphale a un indice céphalique supérieur à ces valeurs moyennes.
Encore d'autres valeurs : les dolichocéphales présentent un indice céphalique jusque’à 75,9 ; les mésocéphales, ou les têtes moyennes ont un indice céphalique compris entre 76 à 80,9 ; les brachycéphales se distinguent par un indice céphalique égal ou supérieur à 81.
