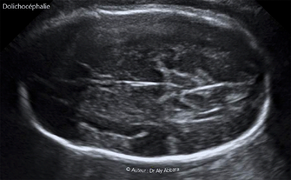
Dolichocéphalie - 32 SA - Echographie
 

Images échographiques montrant un crâne fœtal dolichocéphale (à 32 SA ; en présentation du siège).
Index céphalique = 61
A comparer aux crânes brachycéphales

Dolichocéphalie (Dolichocéphalie ; طِوَل الرأس) :
(du grec : dolichos = allongé ; kephalé = tête)
Description : Il s'agit d'un crâne allongé d'avant en arrière, de forme ovulaire ; la plus grande longueur (diamètre occipito-frontale) l'emporte d'environ d'un quart sur le plus grande largeur (diamètre bi-pariétal).

Chez le fœtus, la dolichocéphalie acquise est fréquemment rencontrée en cas de présentation fœtale non céphalique (siège ou transverse) ; elle se corrige rapidement dans la période post-natale.

En biométrie échographique obstétricale la dolichocéphalie est définie par un index céphalique inférieur à 75,9 et la brachycéphalie (crâne court d'avant en arrière) est définie par un index céphalique supérieur à  80. 
(du grec : brachus = court ; kephalé = tête ; قِصَر الرأس)

L'index (ou indice) céphalique (IC) de Hadlock = (BIP/DOF) x 100
BIP = diamètre bipariétal ; DOF = diamètre occipito-frontal.

Variantes :
Il existe de multiples définitions de la dolichocéphalie et la brachycéphalie selon les hauteurs, la population étudiée et parfois selon le sexe.

Les anthropologues classent les crânes humains selon la valeur de l'indice céphalique en trois catégories : dolichocéphales, mésocéphales et brachycéphales ; les valeurs les plus courantes :

IC < 75 : dolichocéphale
75 < IC < 80 : mésocéphale ou mésaticéphale
IC > 80 : brachycéphale

D'autres parlent de dolichocéphalie quand IC est inférieur à 75, et de brachycéphalie quand IC est supérieur à 81.

Selon le sexe, l’indice céphalique moyen d’un homme est 77.9%, celui d’une femme 78.4%. Un crâne brachycéphale a un indice céphalique supérieur à ces valeurs moyennes.

Encore d'autres valeurs : les dolichocéphales présentent un indice céphalique jusque’à 75,9 ; les mésocéphales, ou les têtes moyennes ont un indice céphalique compris entre 76 à 80,9 ; les brachycéphales se distinguent par un indice céphalique égal ou supérieur à 81.

Classification des crânes humains en fonction de l'indice céphalique en dolichocéphales, mésocéphales et brachycéphales


Auteur Dr Aly ABBARA
9 Décembre, 2020

Contacter Dr Aly ABBARA
  Paris / France