Canal atrio-ventriculaire complet - CAV - 33 SA - Vidéo et image animée échocardiographiques - القناة الأذينية البطينية - GIF animée

Canal atrio-ventriculaire complet - CAV - 33 SA - Vidéo et image animée échocardiographiques - القناة الأذينية البطينية

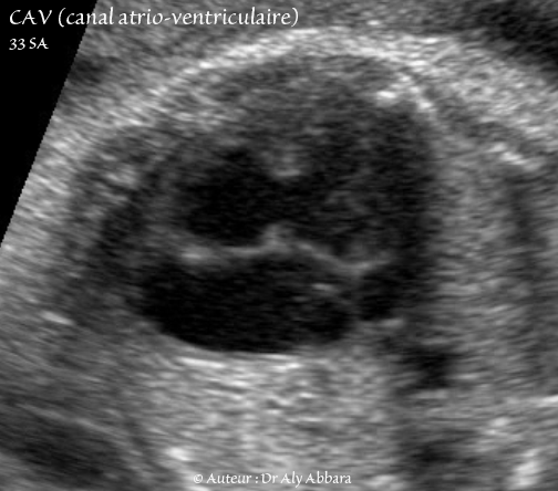
  • Vidéo et image animée échographiques cardiaques montrant la présence de :

    • un canal atrio-ventriculaire (CAV) complet.

    • une valve atrio-ventriculaire (VAV) commune à une ouverture diastolique satisfaisante vers deux ventricules équilibrés (ventricule gauche "VG" et ventricule droit "VD" séparés pareillement par le septum interventriculaire "SIV" musculaire incomplet).

    • une communication inter-auriculaire (CIA) de type ostium primum large aboutissant à la constitution d'une oreillette unique ou quasi unique (petit septum secundum "SS" au dôme de l'oreillette commune).

    • la valve de Vieussens (V V) battant dans le secteur gauche de l'oreillette unique.

    • une communication interventriculaire (CIV) très large ; il s'agit d'une communication de type de CIV d'admission.

    • On observe également sur cette image la plaque modératrice (PM) battant dans le ventricule droit.

    • L'aorte descendante (AO).

  • Par ailleurs :

    • Les deux vaisseaux de la base sont identifiés.
    • La concordance ventriculo-artérielle est normale.
    • La continuité mitro-aortique est normale.
    • Les anneaux sigmoïdiens sont normaux.
    • Les valves aortiques et pulmonaires s'ouvrent bien.
    • L'artère pulmonaire et l'aorte sont de taille normale.
    • Crosse aortique paraissant complète, non hypoplasique.
    • Le rythme de base est régulier, avec une liaison auriculo-ventriculaire 1/1.
    • La fréquence cardiaque est à 140 bpm.
    • Absence d'épanchement péricardique.
    • L'étude Doppler : bonne tolérance hémodynamique.

  • Fœtus âgé de 33 SA trisomique 21.

  • Voir également : même cas de CAV :


Le canal atrio-ventriculaire (CAV) (atrioventricular septal defect - AVSD ; atriventricular canal ; endocardial cushion defect) :

- Fréquence : 1,9/10 000 des naissances vivantes et 4 à 5 % des anomalies cardiaques congénitales.

Le canal atrio-ventriculaire (CAV), embryologiquement résulte d'un défaut du développement du septum intermedium " Septum atrio-ventriculaire " (défaut du développement de la partie centrale du cœur) :

  • Au moment où le septum primum grandit vers le bas dans l'oreillette primitive, quatre bourrelets se développent dans l’endocarde autour du canal atrio-ventriculaire primitif (le canal qui relie l'oreillette primitive au ventricule primitif), il s'agit des bourrelets endocardiques droit, gauche, supérieur et inférieur.

  • A la fin de la 6ème semaine de gestation, les bourrelets supérieur et inférieur qui avançaient l'un vers l'autre finissent par fusionner formant le septum intermedium qui divise le canal atrio-ventriculaire primitif en deux canaux atrio-ventriculaires (droit et gauche).

  • Au même moment le septum primum inter-auriculaire (un septum mince et membraneux) qui est en développement vers le bas, rencontre le septum intermedium afin de diviser l'oreillette primitive en deux secteurs (oreillettes droite et gauche), mais cette séparation de l'oreillette primitive ne sera jamais totale, car le septum primum inter-auriculaire a déjà, dans son secteur supérieur son ostium secundum qui s'est formé par mort cellulaire programmée ; également le septum secundum a déjà commencé son développement dans le sens postéro-inférieur à partir de la voûte de l'oreillette droite, mais ce septum secundum n'atteigne pas le septum intermedium du canal atrio-ventriculaire afin de laisser une communication interventriculaire près de la base de l'oreillette droite, cette communication est appelée le foramen ovale.

  • L'anomalie cardiaque congénitale connue sous le nom de canal atrio-ventriculaire (CAV) est due à un défaut du développement du septum intermedium (septum atrio-ventriculaire) caractérisé par l'anomalie de la fusion des bourrelets endocardiques supérieur et inférieur.

    Le défaut de la fusion des bourrelets endocardiques peut être incomplet, mais dans la forme complète, le canal atrio-ventriculaire primitif persiste dans son état embryonnaire (canal atrio-ventriculaire complet avec une valve atrio-ventriculaire unique, commune) comme c'est le cas dans les images présentées dans cet article.

  • Le défaut du développement du septum atrio-ventriculaire engendre d'autres anomalies secondaires comme :

    • Les communications inter-auriculaires (CIA) de type primum ; les communications inter-ventriculaires (CIV) avec deux ventricules équilibrés ou déséquilibrés ; le ventricule unique ; coarctation de l'aorte ; sténose pulmonaire ; fuite importante auriculo-ventriculaire et les anomalies du système conduction cardiaque aboutissant à des anomalies du rythme cardiaque.

    • Le défaut du développement du septum atrio-ventriculaire (septum intermedium) à ses différents stades, est l'anomalie cardiaque la plus fréquente dans la trisomie 21, mais cette anomalie cardiaque peut être observée dans d'autres anomalies chromosomiques, en particulier, la trisomie 13 et 18.

      La forme complète du CAV s'associe dans 50 % à des cas à une anomalie chromosomique et en particulier, la trisomie 21.

  • Classification des CAV :

    • Le CAV complet : association d'une communication inter-auriculaire (CIA) de type ostium primum + un anneau atrioventriculaire unique + une communication interventriculaire (CIV) d'admission (de situation postérieure et basse).

    • Le CAV partiel : association d'une communication inter-auriculaire (CIA) de type ostium primum + un anneau atrioventriculaire unique + absence de communication interventriculaire (CIV) d'admission (de situation postérieure et basse).

    • Le CAV intermédiaire : association d'une communication inter-auriculaire (CIA) prenant la forme d'oreillette unique par l'absence totale de la cloison inter-auriculaire + un anneau atrioventriculaire unique + une communication interventriculaire (CIV) d'admission presque fermée.

  • Les anomalies des valves atrio-ventriculaires (auriculo-ventriculaires) dans les CAV :

    • Dans les formes complètes des CAV il n'existe qu’un anneau atrioventriculaire pourvu d'une valve unique et faisant communiquer les cavités auriculaires aux deux ventricules.

    • Dans les formes mineures (frustes), l'anomalie des valves auriculo-ventriculaire se résume par l'alignement (l’insertion linéaire) des valves mitrale et tricuspide (donc l'absence du décalage vers le haut de l'insertion de la valve mitrale par rapport à la valve tricuspide).

    • Dans les formes intermédiaires, les deux valves auriculo-ventriculaires sont présentent, mais il existe une fente dans le septum qui les sépare permettant le partage en deux un feuillet valvulaire provenant soit de la valve mitrale, soit de la valve tricuspide.

      Dans les formes encore plus sévères, plusieurs feuillets sont partagés, malformés et parfit rudimentaires.

  • Equilibre ventriculaire dans les CAV complets ou partiels :

    • Le CAV équilibré : les deux ventricules et les deux parties de la valve atrio-ventriculaire ont une taille équivalente.

    • Le CAV déséquilibré : les deux ventricules n'ont pas une taille équivalente.

      • Soit la voie gauche est plus petite avec hypotrophie du ventricule gauche associée à d'autres anomalies au niveau la valve mitrale, ou obstruction sous aortique ou une coarctation de l'aorte.

      • Soit la voie droite est plus petite avec hypotrophie du ventricule gauche associée à d'autres anomalies comme la sténose sous pulmonaire.

Références :
Philippe Bourgeot, Bernard Guérin du Masgenêt, Yann Robert, Véronique Houfflin-Debarge, Yves Ardaens. Échographie en pratique obstétricale. Elsevier-Masson, Edition 2014. p:437-439.
1- Paula J. Woodward, Anne Kennedy, Karen Y. Oh, Michael D. Puchalski, Thomas C. Winter, Logan A. McLean. Diagnostic Imaging Obstetrics. AMIRSYS, 2ème édition 2011. 6:36-39.
2- Loïc Sentilhes, Dominique Bonneau. Le diagnostic prénatal en pratique. Elsevier Masson 2011. p;159-160.
3- Bertrand Stos. Dans le livre : " Le cœur foetal " sous la direction de Jean-Marie Jouannic et Damien Bonnet0 sauramps médical.2011. p145-150.
4- Nadine David. Échocardiographie fœtale. Masson 2009. p:86
5- Alfred Abuhamad, Rabih Chaoui. "A practical Guide to fetal echocardiography" Wolters Kluwer, Lippincott, Williams & Wilkins 2010. p:219-228.
6- Pathologie fœtale et placentaire pratique. Ouvrage collection de la société français de foetopathologie (SOFFOET). sauramps médical 2008. p:76.
7- William J. Larsen. Embryologie humaine. de boeck, 2ème édition française 2007. p: 169-1710 et p:183.


Auteur Dr Aly ABBARA
29 Juin, 2018

Contacter Dr Aly ABBARA
  Paris / France