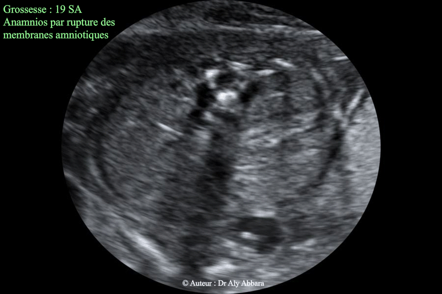
Anamnios en rapport avec une rupture prématurée des membranes à 19 SA - Reins identifiables

Images échographiques montrant un anamnios à 19 SA ; conséquence d'une rupture prématurée des membranes survenant 36 heures auparavant.

L'image échographique montre l'absence totale de liquide amniotique avec la mise en évidence de deux reins normaux permettant d'éliminer la présence d'une pathologie rénale bilatérale pouvant donner échographiquement les mêmes images (exemple : agénésie rénale bilatérale).

Les autres images échographiques montrent également, dans le présent cas : le repli du rachis fœtal ; le repli du placenta et la vessie bien individualisable.

Auteur Dr Aly ABBARA
16 Novembre, 2020

  Paris / France