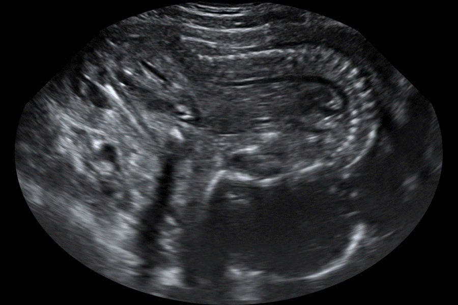
Rupture prématurée des membranes à 19 SA - Signes échographiques d'un anamnios

Images échographiques montrant un anamnios à 19 SA ; conséquence d'une rupture prématurée des membranes survenant 36 heures auparavant.

L'image échographique montre l'absence totale de liquide amniotique et avec le repli du rachis fœtal sous le fait de la constriction de l'utérus.

Les autres images échographiques montrent également, dans le présent cas : le repli du placenta ; les deux reins qui sont normaux et la vessie bien individualisable.

Oligoamnios (oligohydramnios) - anamnios (anhydramnios) :

  • Définition échographique :

    • Oligoamnios (oligohydramnios) : l'oligoamnios sévère quand la plus grande citerne visible est inférieure à 2 cm (sur le plan vertical, mais pour certains auteur : < 2 cm sur les plans vertical et horizontal) ou l'index amniotique inférieur à 5 cm.
      1cm d'index amniotique = environ 30 ml de liquide amniotique.

      Quantitativement, on parle d'oligoamnios quand l'estimation de la quantité du liquide amniotique est inférieure à 400 ml (< 500 ml ou < 300 ml selon les auteurs) dans le 2e et 3e trimestres de la grossesse.

    • Anamnios (anhydramnios) : absence totale de liquide amniotique ; index amniotique non mesurable.

  • Fréquence : de 0,5 à 5,5 % des grossesses ; 3 à 5 % au 3e trimestre de la grossesse et seulement 0,2 % au 2e trimestre.

  • Étiologies

    • Par la fuite du liquide amniotique
      • Rupture des membranes amniotiques :
      • Grossesse extramembraneuse :
        Une rupture très prématurée des membranes amniotiques (au cours du premier trimestre de la grossesse) permettant au fœtus de sortir de la cavité amniotique (qui se rétracte) pour évoluer dans la cavité utérine tapissée par la caduque ; conséquences :
        • Anamnios sévère et précoce ; immobilité fœtale totale ; épaississement et hyperéchogéncité placentaire par tassement du placenta sous l'effet de la rétraction utérine ; écoulement chronique par la voie génitale d'un liquide rosâtre (hémamnios).

      • Fuite de liquide amniotique post-amniocentèse :
        • Environ 2 % des amniocentèses se compliquent d'un écoulement de liquide amniotique qui est souvent temporaire (durant d'environ une semaine) et qui s'arrête d'elle-même. Dans des rares cas, la fuite du liquide amniotique persiste entraînant parfois un oligoamnios.

    • Par l'insuffisance de production du liquide amniotique :

      • Insuffisance placentaire altérant les fonctions rénales fœtales par diminution de la perfusion rénale.

        • Retard de croissance in utero :
          L'oligoamnios peut être un signe précoce du RCIU.

        • Grossesse prolongée :
          Morbidité élevée si présence d'un oligoamnios.
          Il est possible d'utiliser la notion du score de liquide amniotique avec deux valeurs possible, soit "2" soit "0" :
          • Score = 2 : présence d'une citerne de liquide amniotique égale ou supérieure à 2 x 2 cm sur un plan perpendiculaire.
          • Score = 0 : absence d'une citerne de liquide amniotique égale ou supérieure à 2 x 2 cm sur un plan perpendiculaire.
            Un score = 0 est de haute signification pathologique.

        • Grossesse gémellaire :
          • Syndrome de transfuseur- transfusé (l'oligoamnios ou l'anamnios se constitue du côté du jumeau transfuseur)

        • Mort fœtale in utero (MFIU)

      • Insuffisance rénale fœtale : entraînant un défaut de production urinaire

        • Iatrogène (l'exposition in-utero aux certains médicaments néphrotoxiques pour les reins fœtaux) :
          • Les anti-inflammatoires non stéroïdiens (AINS) :
            Inhibiteurs de la synthèse de la prostaglandine (Prostaglandin synthase inhibitors) ; exemples : indométhacine ; ibuprofène.

            Ces substances entraînent des anuries fœtales transitoires (insuffisance rénale fonctionnelle) et en cas d'exposition prolongée, l'anurie peut devenir définitive (insuffisance rénale définitive).
            Les lésions rénales observées sont : des anomalies de développement des néphrons superficiels avec la formation de microkystes de distribution sous-capsulaire et une ischémie du cortex profond ; aspect rétracté des glomérules et dé-différenciation ou dilatation tubulaire (néphropathie kystique).

          • Inhibiteurs de l'enzyme de la conversion de l'angiotensine "IEC" (Angiotensin-converting enzyme inhibitors)
            Utilisés comme antihypertenseurs.
            Les reins sont macroscopiquement normaux, mais microscopiquement présentent des lésions de dysgénésie tubulaires rénale : les tubes proximaux sont dé-différenciés et parfois modérément dilatés ; les glomérules rétractés ; les artérioles à paroi épaisse.

        • Infectieux : atteinte rénale fœtale directe (néphrite) souvent réversible dans certaines infections : CMV (cytomégalovirus) et parvovirus B19.

        • Anomalies congénitales :
          • Agénésie rénale bilatérale (syndrome de Potter) :
            Oligoamnios sévère ou anamnios apparaissant précocement, dès le 16 - 18 SA, et persistant au cours de la deuxième et troisième trimestres de la grossesse (liquide amniotique en quantité normale avant la 16ème semaine d'aménorrhée) ; vessie complètement vide ; absence de structure rénale identifiable ; les surrénales peuvent mimer les reins ; anomalies cardiaques congénitales dans 14 % des cas.
            Le Doppler-couleur orienté vers l'aorte abdominale confirme l'absence bilatérale d'artère rénale.

          • Hypoplasie rénale bilatérale :
            Oligoamnios pouvant évoluer vers l'anamnios ; deux reins hypoplasiques.

          • Dysplasie rénale bilatérale multikystique :
            • Polykystose rénale de type infantile (ou polykystose rénale autosomique récessive) : gros (parfois très volumineux) reins très hyperéchogènes (sans différenciation corticomédullaire) en raison de la présence de microkystes de 1 à 2 mm de diamètre dans la médullaire rénale.
            • Elle touche 1/20 000 naissances ; le gène responsable "PKHD" a été localisé sur le bras court de chromosome 6.
            • En général, il n’excite pas de malformation associée.

          • Obstruction des voies urinaires basses :
            • La valve de l'urètre postérieure ; atrésie de l'urètre >> anamnios ; mégavessie ; hydro-urétéro-néphrose.
            • Obstruction de la jonction pyélo-urétérale bilatérale.
            • Obstruction de la jonction urétéro-vésicale bilatérale.

          • Associations polymalformatives touchant le système urogénital :

            • Syndrome de Meckel-Gruber (ou syndrome de Meckel "MKS") ; syndrome autosomique récessif rare (1/40 000) : méningo-encéphalocèle postérieure (occipitale) ; polydactylie postaxiale et de polykystose rénale ; une fibrose hépatique congénitale avec prolifération ductuaire...

            • VACTERL (vertebral, anal, cardiac, tracheo-esophageal, renal, limb) association.

            • Syndrome de Prune-Belly : le triade (distension abdominale ; mégavessie et cryptorchidisme).

            • Syndrome de Fraser : un syndrome autosomique récessif : association de cryptophtalmie, de syndactylie, et des anomalies génitales, rénales et trachéale.
            • Association MURCS (müllerian duct aplasia, renal aplasia, cervicothoracic somite dysplasia).

            • Syndrome de régression caudale / Sirénomélie : interruption du développement de la portion caudale du tube neural ; absence ou dysplasie du sacrum ; anomalies rénales et des extrémités.

            • Dysgénésie cloacale ; séquence d'extrophie cloacale : omphalocèle ; extrophie cloacale ; imperforation anale ; defects spinaux et anomalies génitales. 

            • Syndrome de mégavessie-microcolon-hypopéristaltisme intestinal ; syndrome autosomique récessif léthal : diminution de la tonicité des muscles des parois intestinales et les voies urinaires aboutissant une dilatation très marquée de la vessie et une hypopéristaltisme du colon.

      • Malformations thoraciques (les poumons normaux participent partiellement à production du liquide amniotique) : l'atrésie trachéale et les obstructions totales de la voie respiratoire supérieure (atrésie du larynx et de la glotte) sont des rares étiologies de l'oligoamnios.

      • Certaines anomalies chromosomiques : trisomie 18 ; trisomie 13 (dans 13 % des cas on observe la survenue l’oligoamnios et dans 15 % d'hydramnios) ; trisomie 21 ; triploïdie (oligoamnios précoce dans 45 à 60 % de cas) ; monosomie X (syndrome de Turner).
        Dans ces aneuploïdies, la survenue de l’oligoamnios peut être attribuée aux anomalies de l'appareil urinaire et à l'insuffisance placentaire.

      • Oligoamnios idiopathique :
        Il s'agit d'un diagnostic par élimination (exclusion) ; oligoamnios isolé ; parfois attribué à une déshydratation maternelle ; souvent modéré ; il peut être transitoire.


  • Les complications fœtales de l'oligoamnios et l'anamnios chroniques :

    • Hypoplasie pulmonaire caractérisée par une circonférence thoracique diminuée ; la première cause de mortalité liée à l'oligoamnios. Un oligoamnios ou d'un anamnios avant la 22e SA augmente de façon importante le risque de la survenue d'hypoplasie pulmonaire, mais en général, la période critique s’étant entre 17 et 26 SA, parce que, durant cette phase de la grossesse se forment les alvéoles pulmonaires ; se différencient les cellules épithéliales ; débutent la sécrétion du liquide pulmonaire et la synthèse du surfactant.
      D'après Rotshild et al : pour une rupture prématurée des membranes à 19 SA, le risque de la survenue d'une hypoplasie pulmonaire est de l'ordre de 50 % ; à 25 SA le risque est de l'ordre de 10 % et à 31 SA, le risque est de l'ordre de 1 %.

    • Syndrome de l'immobilité fœtale avec malpositions des pieds (pieds bots) ; des contractures des extrémités (arthrogrypose : raideur articulaire et déficit musculaire) ; une dysplasie luxante de hanche.

      Dans le syndrome (ou séquence) de Potter (séquence de l'oligoamnios) : on observe l'association suivante : une arthrogrypose ; un hypertélorisme ; des plis sous-occulaires ; un aplatissement du nez ; un rétrognadisme ; des grandes oreilles plissées.

    • Infections fœtomaternelles en cas de rupture des membranes.

Auteur Dr Aly ABBARA
16 Novembre, 2020
Références :
-Philippe Bourgeot ; Bernard Guérin du Masgenët ; Yann Robert ; Véronique Houfflin-Debarge ; Yves Ardaens. Echographie en pratique obstétricale. Elsevier MASSON 2014 (5ème édition).
- Loïc Sentilhes, Dominique Bonneau, Philippe Descamps. "Le diagnostic prénatal en pratique ". Edition Elsevier-Masson 2011.
- Woodward P.J, Kennedy, Sohaey. "Diagnostic imaging : Obstetircs". AMIRSYS Edition 2011.
- Beryl Benacerraf. "Ultrasound of fetal syndromes". Second edition 2008. Churchill Livingstone Elsevier.
- Sociét française de foetopathologie - SOFFOET. " Pathologie foetale et placentaire pratique" Sauramps médical 2008.

  Paris / France