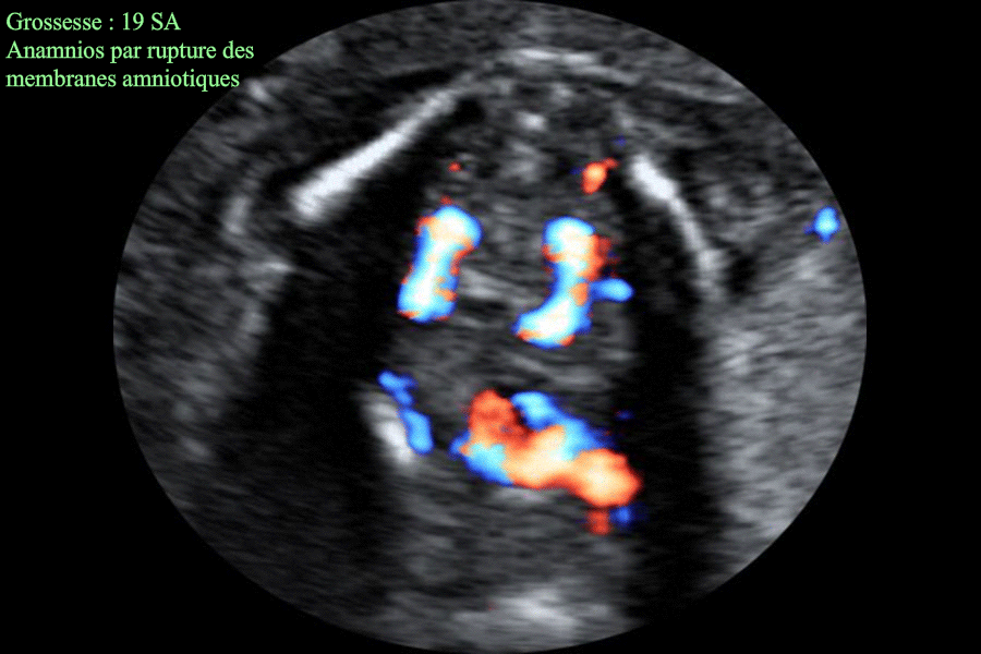
Anamnios par rupture prématurée des memebranes à 19 SA - Individualisation de la vessie

Images échographiques montrant un anamnios à 19 SA ; conséquence d'une rupture prématurée des membranes survenant 36 heures auparavant.

L'image échographique montre l'absence totale de liquide amniotique avec la mise en évidence de d'une vessie qui se remplit et se vide régulièrement ; cela permet d'éliminer la présence d'une pathologie de l'arbre urinaire pouvant donner échographiquement les mêmes images.

Les autres images échographiques montrent également, dans le présent cas : le repli du rachis fœtal ; le repli du placenta et deux reins normaux.

Auteur Dr Aly ABBARA
16 Novembre, 2020

  Paris / France