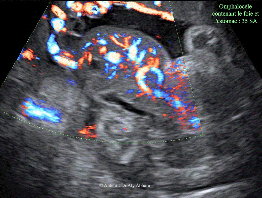
Omphalocèle - Grossesse de 35 SA
Coupe échographique abdominale transverse
Aucune anomalie morphologique associée
Caryotype fœtale normal (46, XX)
Image échographique montrant une grossesse de 35 SA caractérisée par la présence d'une volumineuse omphalocèle contenant la totalité du foie et sa vésicule biliaire, puis l'estomac. L'insertion du cordon ombilical se situe sur la surface extérieure l'omphalocèle. La veine ombilicale traverse le foie. Aucune anomalie morphologique associée et décelable à l'échographie. Le caryotype fœtal ne montre pas d'anomalie chromosomique associée (46, XX).