Positionnement d'un DIU au cuivre dans la cavité d'un utérus malformé, cloisonné

Positionnement d'un DIU au cuivre dans la cavité d'un utérus malformé, cloisonné

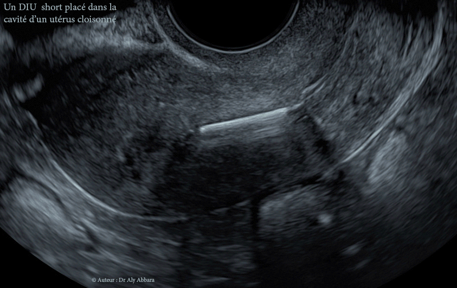
• Images échographiques montrant, sur une coupe frontale (3D) puis une coupe sagittale médiane (2D), le positionnement d'un DIU(Cu) short (en T) dans la cavité utérine d'un utérus malformé cloisonné partiel corporéal (U2a = utérus extérieurement normal avec un septum fundique interne médiane supérieur à 50 % de l'épaisseur de la paroi utérine).

Il s'agit d'une cloison utérine corporéale verticale médiane méconnue au moment de la pose de ce DIU (stérilet) chez une femme âgée de 25 ans, nulligeste.

• Ces images expliquent le positionnement bas du DIU dans la moitié inférieure de la cavité du corps utérin tout en laissant les deux cornes utérines (formées par la présence de la cloison) hors contact avec les différentes composantes du DIU (la tige verticale cuivrée et les deux bras horizontaux).

• Cette occupation partielle de la cavité utérine par le DIU peut comporter probablement le risque de réduire son effet contraceptif par son manque de contact avec l'endomètre et par une diffusion insuffisante du cuivre dans la cavité utérine.

Les malformations de la cavité utérine, congénitales ou acquises (myomes déformant la cavité utérine, synéchies utérines...) constituent une contre-indication à l'utilisation du DIU comme moyen de contraception.


Auteur Dr Aly ABBARA
26 Juin, 2021

Contacter Dr Aly ABBARA
  Paris / France