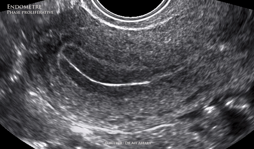
Utérus - la contractilité utérine et l'aspect échographique  de l'endomètre en fin de la phase proliférative (pré-ovulatoire)

Ovaire gauche - follicule de Gaaf mature

Utérus : la contractilité utérine et l'aspect échographique de l'endomètre à la fin de la phase proliférative, avec ovaire gauche contenant un follicule de De Graaf mature (pré-ovulatoire) de 24 mm de grand axe :

Échographie réalisée au 13e jour du cycle menstruel - glaire pré-ovulatoire - endomètre de 11 mm d'épaisseur.

Échographiquement, on observe entre le myomètre et la cavité utérine les couches successives suivantes :

    • 1- Un très fin liseré anéchogène (discontinu sur l'image) correspondant à la zone de jonction entre le myomètre et la couche basale de l'endomètre.

    • 2- La couche profonde de l'endomètre correspondant à la zone de renforcement basale (plus échogène que le reste de l'endomètre).

    • 3- Les couches moyenne et superficielle de l'endomètre qui paraissent hypoéchogènes comparées à la couche basale profonde.

    • 4- La ligne de la vacuité utérine qui prend l'aspect d'un liseré axial hyper-échogène.

  • Les trois dernières éléments donnent à l'endomètre de la phase proliférative son aspect échographique en trois feuillets.

  • La contractilité utérine ondulatoire observée sur cette séquence vidéo peut être expliquée par l'élévation du taux de l'œstrogène et son action sur le myomètre. Ces mouvements ondulatoires de l'endomètre favorisent l'ascension des spermatozoïdes dans la cavité utérine en transformant l'endomètre en tapis roulant (explication personnelle).


Auteur Dr Aly ABBARA
3 Janvier, 2019

Contacter Dr Aly ABBARA
  Paris / France