Polype endométrial sécrétoire

Utérus : Polype endométrial sécrétoire :

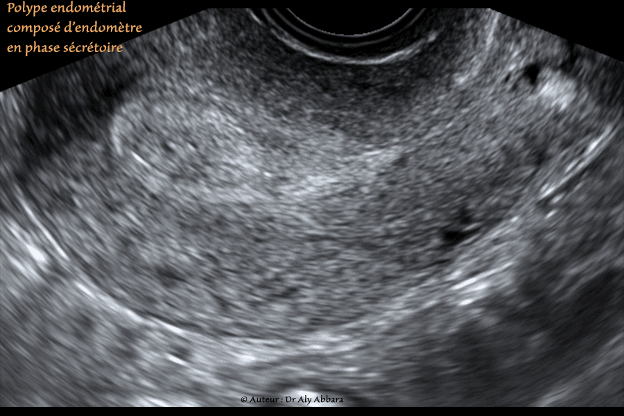
• Images échographiques montrant (sur des coupes sagittale, transverse et frontale), dans la moitié gauche du fond de l'utérus, la présence d'une formation polypoïde mesurant environ 18 x 10 x 24 mm (soit 2,3 cm3).

L'endomètre lors de la réalisation de cette échographie était en phase sécrétoire (24° jour du cycle menstruel) : endomètre hyperéchogène et homogène sur la totalité de son épaisseur.

Le polype endométrial est de forme ovoïde de structure échographique identique à celle de l'endomètre.

• La patiente est âgée de 36 ans, se plaignant depuis quelques mois, de douleurs pelviennes pour lesquelles l'échographie a été réalisée, mais les cycles menstruels sont normaux, sans ménométrorragie.

• L’hystéroscopie diagnostique confirme la présence d'un polype endocavitaire pédiculé d'environ 2,5 mm de grand axe, inséré sur la paroi du fond utérin ; il s'agit d'un polype de consistasse muqueuse, à surface lisse, non ulcérée. Par ailleurs l'endomètre est d'aspect normal, sans particularité.

L'examen anatomopathologique :
En surface de ce polype, l'épithélium est de type endométrial régulier, avec dans l'axe des glandes endométriales d'allure sécrétoire, avec un chorion pseudo décidualisé et au centre axial il existe de volumineux bouquets vasculaire.

L'endomètre est en phase sécrétoire.

Conclusion : polype endométrial de structure glandulaire sécrétoire simple sans atypies structurales ni cytologiques.
Endomètre en phase sécrétoire normale.


Auteur Dr Aly ABBARA
17 Avril, 2017

Contacter Dr Aly ABBARA
  Paris / France