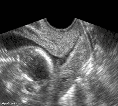
Coupe sagittale passant par le col utérin à 15 semaines d'aménorrhée
Il s'agit d'un col court (25 mm de longueur) avec orifice interne béant, sous forme d'un entonnoir

voir l'aspect de ce col utérin à 16 semaines d'aménorrhée de grossesse après un double cerclage
Incompétence cervico-isthmique (béance de l'orifice interne du col utérin)
voir l'aspect du col normal à 22 semaines d'aménorrhée de grossesse
.

Atlas d'échographie

www.aly-abbara.com

Paris / France
MAJ : 26 Avril, 2023