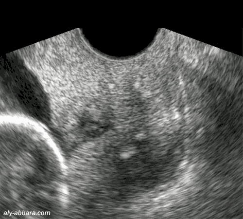
Coupe sagittale passant par le col utérin à 16 semaines d'aménorrhée et récemment cerclé

Il s'agit au départ d'un col court (25 mm de longueur) avec orifice interne béant, sous forme d'un entonnoir.
On peut remarquer les modifications apportées par le cerclage du col utérin
: la longueur du col est augmentée,

avec une portion sécurisée du canal cervical de 20 mm, mais l'orifice interne du col reste toujours béant



Incompétence cervico-isthmique (béance de l'orifice interne du col utérin)
Voir l'aspect du col normal à 22 semaines d'aménorrhée de grossesse



Atlas d'échographie


www.aly-abbara.com

Paris / France
MAJ : 26 Avril, 2023