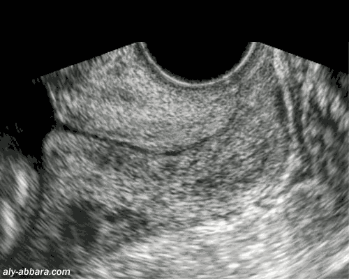
Coupe sagittale passant par le col utérin à 22 semaines d'aménorrhée
Il s'agit d'un col de longueur et d'aspect normaux

Voir l'aspect du col modifié à 15 semaines d'aménorrhée de grossesse
Voir l'aspect du col modifié à 16 semaines d'aménorrhée de grossesse et cerclé
Incompétence cervico-isthmique

Atlas d'échographie


www.aly-abbara.com

Paris / France
MAJ : 26 Avril, 2023