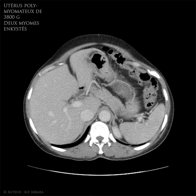
Utérus polymyomateux de 3800 g comportant deux volumineux myomes enkystés - Imagerie par scanner - coupes axiales


Images Scanner (coupes axiales) montrant un volumineux utérus polymyomateux pesant environ 3800 grammes et comportant deux myomes enkystés (kystes sous séreux utérins par dégénérescence kystique de fibromes) de 95 cm3 et 1661 cm3 de
volume



  • Histoire de maladie :
    Cliniquement : cet utérus polymyomateux qui a été mise en évidence chez une femme nullipare âgée de 49 ans, était à l'origine de douleurs abdomino-pelviennes et de ménométrorragie chronique évoluant depuis plusieurs années.
    L'examen clinique montre la présence d'un volumineux utérus myomateux de 27 - 28 SA de volume (hauteur utérine = 24 cm)
    L'échographie évoquent le diagnostic d'utérus polymyomateux associé à la présence de deux images kystiques, la première fait partie du flanc gauche de l'utérus et mesurant 174 x 98 x 185 mm (soit 1661 ml de volume) et la deuxième mesure (soit 95 ml). Ces deux images sont uniloculaires, à paroi fine, sans végétations endophytique avec un contenu hypo-échogène à dépôt fundique. Absence d'ascite.


    L'exploration chirurgicale montre qu'il s'agit d'un volumineux utérus pesant (avec les contenus des kyste) environ 3800 grammes ; avec la présence de deux formations kystiques sous-séreux de la paroi utérine évoluant au niveaux du pôle supérieur de l'utérus (à gauche d'environ 18 - 19 cm de grand axe et à droite de d'environ 7 cm de grand axe)

  • Anatomopathologie :
    • Contenu des kyste sous séreux utérins : liquide brunâtre trouble à fond hémorragique contenant des éléments inflammatoires représentés pas des lymphocytes et assez nombreux polynucléaires éosinophiles. Les cellules mésothéliales sont nombreux et évoquant la présence d'une hyperplasie mésothéliale réactionnelle. Elles sont souvent groupées en amas. Elles ne présentent pas d'atypie cytonucléaire. Il n'y a pas de population de nature épithéliale.

    • Le corps de l'utérus est de 22 cm de hauteur x 13 cm de distance inter-corne et 8 cm de largeur. Le col mesure 4 cm de hauteur et 2 x 1 cm de largeur.

    • Deux kystes sous séreux utérins à paroi fine et lisse.

    • Le corps utérin referme sept myomes, le plus volumineux est sous séreux intra-mural fundique, en regard des kystes fundique de l'utérus ; il mesure 12,5 x 9 cm, et comporte à la coupe des petits kystes et des secteurs hémorragiques sans nécrose ; histologiquement il est composé d'une prolifération léiomyomateuse de densité cellulaire modérée ou parfois plus marquée. Les cellules sont bizarres (symplasmique), fusiformes, agencées en grands faisceaux, elles sont régulières, parfois, renfermes des cellules très atypiques, monstrueux, plurilobées, avec des inclusions. Il n'y a pas de nécrose. ; quelques figures de mitose.

    • Les autres fibromes comportent des remaniements fibro-hyalins.

    • La paroi des des kystes sous séreux utérins est fibreuse, assez richement vascularisée et renfermant quelques faisceaux de fibres musculaires lisses, mais pas de revêtement épithélial.

      L'étude immunohistologique avec un anticorps anti-calrétinine au niveau des parois kystiques : quelques cellules positives avec cette anticorps au sein de la paroi, mais la bordure n'est pas positive.

      Ces kystes sous séreux utérins correspondent à une dégénérescence kystiques des fibromes.

    • L'endomètre est dyshormonal sans atypie ni processus tumoral malin.

Auteur : Dr Aly Abbara
Mise à jour : le 20 Décembre, 2020

aly-abbara.com
Paris / France