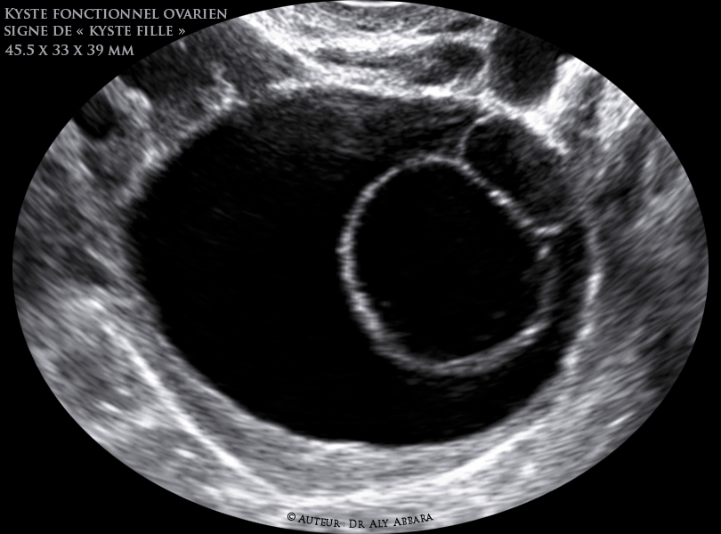
Kyste ovarien fonctionnel Signe de kyste fille -(Daughter cyst sign)

Signe de « kyste fille » (Daughter cyst sign)
Kyste ovarien fonctionnel complexe, composé d'une formation kystique mesurant 45,5 x 33 x 39 mm, contenant deux formations kystiques plus petites (deux filles)
ou deux follicules de De Graaf in égaux en volume.
Images animées.



Les kystes fonctionnels de l'ovaire (functional ovarian cysts) :

Il s'agit de kystes ovariens hormono-dépendents, dérivant d'un follicule préovulatoire (évoluant au cours de la phase folliculaire du cycle menstruel) et mesurant de > 3 cm (de 3 à 8 cm et rarement 10 cm) d'où la nomenclature internationale (kystes folliculaires = follicular cysts). Sa localisation est dans la partie corticale (cortex) de l'ovaire. Il s'agit d'un simple kyste uniloculaire, de forme ronde ou ovale, régressant spontanément au bout de 2 à 3 mois (2 à 3 cycles menstruels).

Synonymes :

* kyste physiologique (physilogic cyst) du follicule dominant.

* Granulosa lutein cyst : kyste folliculaire avec lutéinisation des cellules de la granulosa (follicular cyst + luteinized granulosa cells).

* Theca-lutein cyst : kyste folliculaire avec lutéinisation des cellules de la thèque interne (follicular cyst + luteinized thec interne cells).

En échographie :
Un kyste ovarien simple évoluant dans le cortex ovarien, uniloculaire, à contenu clair, mais le plus souvent on constate la présence d'une hémorragie intra-kystique prenant des aspects variables selon l'importance de son contenu sanguin : contenu hypo-échogène ou hyperéchogène, en forme de toile d'araignée, un caillot sanguin rétracté à bord concave ou convexe, un nodule mural solide et enfin, des faibles échos floconneux ressemblant à ce qu'on voit communément dans les endométriomes, mais quand il s'agit d'un kyste folliculaire, ces échos ne sont pas uniformes et elles sont plus volumineux.

La paroi du kyste fonctionnel de l'ovaire est fine, tapissée par une mince couche hypoéchogène mal limitée vers l'intérieur.

Le Doppler couleur peut montrer la présence d'un contour hypervascularisé prenant l'aspect d'un anneau lumineux périphérique (anneau de feu "Ring of fire") comme c'est le cas en cas d'un follicule approchant l'ovulation ou un corps jaune récent.

Étiologie :

Stimulation ovarienne anormale :
 * soit une élévation de FSH liée à une anomalie de la fonction de l'axe hypophyse-ovaire ;
 * soit réponse anormale à une stimulation ovarienne normale ;
 * soit secondaire à une induction de l'ovulation.

Incidence :
  - Inconnue.
  - Chez le fœtus du sexe féminin : 1/25 000 naissances de filles.

Complications :
Hémorragie intrakystique simple (isolée) ou associée à une torsion de l'ovaire, rupture avec un risque d'hémopéritoine plus ou moins important.

Anatomopathologie :
Le kyste ovarien fonctionnel n'est pas une tumeur (néoplasme), il s'agit plutôt d'un kyste se formant suite à l'accumulation inhabituellement importante du liquide intrafolliculaire (liquor folliculi) dans la cavité du follicule. Ce kyste ovarien est tapissé par des cellules de la granulosa et la thèque interne, donc il est similaire, de ce point de vue, à un follicule physiologique.

Le contenu du kyste folliculaire est normalement pauvre en cellules ; ce sont des cellules lutéinisées provenant de la granulosa et de la thèque interne.

Références :
- Marisa R. Nucci, Esther Oliva. Diagnostic Pathology Gynecological. AMIRSYS 2014. 4:1
- Schorge, Schaffer, Halvorson, Hoffman, Bradshaw, Cunningham. Williams Gynecology. MacCraw Hill Companies. 2008. p;212.
- Hedvig Hricak, Oguz Akin, Evis Sala, Susan M. Ascher, Deborah Levine, Caroline Reinhold, Diagnostic imaging Gynecology.AMIRSYS 2007. 7-8:11.



Caractères échographiques des Kystes fonctionnels de l'ovaire chez les femmes en période d'activité génitale (1) :

Il s'agit de l'aspect échographique de kyste liquidien pur ou hémorragique souvent associé à une hypervascularisation périphérique, à parenchyme ovarien conservé, survenant dans un contexte évocateur (microprogestatif, tamoxifène, fin de cycle…).
Selon la Nomenclature, ou terminologie, échographique définie par le groupe IOTA pour décrire les tumeurs ovariennes présumées bénignes (Timmerman et al. Ultrasound Obstet Gynecol 2000) Table 1. Ultrasound nomenclature, or terminology, defined by the IOTA group to describe presumed benign ovarian masses (Timmerman et al. Ultrasound Obstet Gynecol 2000)

Traitements médicaux (1)
Le traitement médical (œstroprogestatifs, progestatifs macrodosés, danazol, analogues de la GnRH) n’est pas plus efficace que l’abstention thérapeutique pour la prise en charge des kystes ovariens uniloculaires liquidiens purs asymptomatiques de la femme en période d’activité génitale (NP1). Compte tenu de la nature bénigne de ces kystes ovariens (NP1), de l’absence de bénéfice démontré des estroprogestatifs dans cette indication (NP1) et des effets indésirables notamment thrombo emboliques potentiellement induits par ceux-ci (NP1), les estro progestatifs ne doivent pas être utilisés dans le but de faire disparaître les kystes ovariens (grade A). Ils ne sont indiqués que si une demande contraceptive existe, et qu’ils sont choisis par la patiente dans cet objectif. La patiente doit être informée que ce traitement estro progestatif n’aura pas d’impact sur les chances de rémission du kyste liquidien pur (grade A). La contraception œstroprogestative diminue le risque de dévelop pement de kystes fonctionnels (NP2). Le faible dosage en éthinylestradiol (EE < 20 mcg/j) de l’anneau contraceptif et de certains estro progestatifs minidosés laisse supposer que le blocage de l’axe gonadotrope est partiel, exposant ainsi au risque de kystes fonctionnels. Il existe quelques données publiées concernant ce risque (NP2), mais aucune étude ne compare les estroprogestatifs minidosés (EE < 20 mcg/j) et normodosés. Les microprogestatifs augmentent l’incidence des images ovariennes liquidiennes (NP3). Le tamoxifène est respon sable d’une augmentation du risque de kystes uniloculaires chez les femmes non ménopausées (NP2). Il n’y a pas d’arguments à réaliser une échographie pelvienne systématique pour dépister les kystes ovariens chez la patiente sous tamoxifène. Des kystes uniloculaires liquidiens purs sont observés en début de traitement par analogues de la GnRH en vue d’une FIV (NP3) ; leur ponction avant stimulation n’améliore pas la qualité de la stimulation et le taux de grossesses (NP2) et n’est pas recommandée (grade B).
(1) Texte extrait des RPC (recommandations-pour-la-pratique-clinique) du CNGOF (Collège National des Gynécologues et Obstétriciens Français) - Les tumeurs de l’ovaire présumées bénignes (2013).


Auteur Dr Aly ABBARA
11 Août, 2019

Contacter Dr Aly ABBARA
  Paris / France