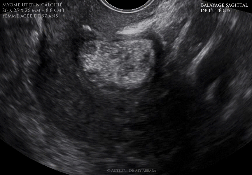
Utérus :  myome intra-mural antérieur calcifié chez une patiente âgée de 57 ans

Utérus : myome intra-mural antérieur calcifié chez une patiente âgée de 57 ans, ménopausée depuis l'âge de 52 ans.

Il peut s'agir également d'une tumeur lipomateuse utérine.

Il s'agit d'un myome asymptomatique, non évolutif depuis 5 ans.


• Séquences vidéo et images échographiques montrant (sur des coupes sagittales, et frontales) un utérus rétroversé portant un myome de structure hyperéchogène, bien limité, mesurant 26 x 25 x 26 mm de diamètre, soit 8,8 cm3 de volume ; intra-mural antérieur, de classe 4 selon le FIGO.


• Les fibromes ce sont tumeurs susceptibles d'être le théâtre de perturbations de la vascularisation ; l'insuffisance vasculaire aiguë ou chronique explique certaines transformations structurelles comme :

  • l'œdème ; la hyalinisation ; la thrombose ; 

  • la calcification (l'aspect échographique  ;  et l'aspect radiologique  ;

  • l'involution adipeuse ou le fibrome prend l'aspect d'un lipome ;

  • la nécrobiose aseptique : c'est un infarctus du fibrome, il se voit fréquemment pendant la grossesse et dans le post-partum immédiat (après l'accouchement).
    La nécrobiose aseptique du fibrome peut se traduire plusieurs années plus tard par son involution et la réduction importante de son volume.

  • la cavitation (la transformation pseudokystique) comme suite à une nécrobiose  où une partie du fibrome se liquéfie aboutissant à des formations cavitaires irrégulières, à contenu trouble dépourvu de revêtement, creusé en plein tissu myomateux ;

  • la dégénérescence kystique des fibromes sans nécrobiose

  • la torsion des fibromes sous-séreux pédiculés qui entraîne la nécrobiose aseptique du fibrome et la rupture de ses pédicules veineux superficiels avec le risque de l'hémorragie intra-péritonéale.

  • l'accouchement par le col utérin des fibromes sous-muqueux à long pédicule avec l'infection et la nécrose (sphacèle) qui sont associées souvent à cet événement.
  • Tumeurs lipomateuses utérines (lipomatous uterine tumors - LUT)

    • Synonymes : néométaplasie lipomateuse utérine (uterine lipomatous neometaplasia - ULNM) ; lipoléiomyome (lipoleimyoma - LLM) ; fibromyolipome (fibromyolipoma - FML) et angiolipoléiomyome (angiolipoleiomyoma - ALLM).

    • Définition : tumeur utérine composée de tissu adipeux de type adulte avec ou sans éléments tissulaires musculaires lisses et fibreux et parfois une prolifération de vaisseaux sanguins anormaux dans la forme angiolipoléiomyomateuse.

      Se sont des tumeurs utérines bénignes. Il a été rapporté quelques rares cas de liopléiomyomatose intravasculaire et un cas de léiomyosarcome évoluant au dépens d'un lipoléiomyome.

    • Fréquence : de 0,03 à 2 % dans les pièces opératoires de l'hystérectomie ; haute prévalence d'association avec le léiomyome utérin.
      Elles sont retrouvées, dans 90 % des chez les patientes après 40 ans et souvent chez les femmes post-ménopausiques

    • Étiologie : présence dans l'utérus d'éléments mésodermaux embryonnaires à potentiel de différenciation lipoblastique ; la présence de cellules péri-capillaires mésenchymateuses pluripotentes ; migration de lipoblastes tout au long des artères utérines et les nerfs ; métaplasie des cellules stromales ou musculaires lisses d'un léiomyome pré-existant.

    • Cliniquement : habituellement asymptomatique ; dans les formes symptomatiques sont similaires aux léiomyomes (fibromes) : inconfort pelvien chronique et métrorragies.

    • Morphologie : il s'agit d'une tumeur utérine de taille variable (en moyenne de 5 à 10 cm), évoluant au niveau du corps de l'utérus dans 90 % des cas, et moins fréquemment au niveau du col de l'utérus ; il est intramural dans 60 % des cas, sous-séreux dans 35 % des cas, parfois pédiculée ou exophytique, rarement sous muqueux. De forme sphérique ou ovoïde, bien circonscrite et encapsulée, à contenu hétérogène.

    • Aspects échographiques : il s'agit d'une masse hyperéchogène bien définie avec des zones internes hypoéchogène et parfois des septations ; une atténuation postérieur et parfois entourée partiellement par un pourtour hypoéchogène.

    • Au scanner on peut constater qu'il s'agit d'une masse à contenu de densité graisseuse variable avec parfois des calcifications.

      Référence :
      Hedvig Hricak, Orguz Akin, Evis Sala, Susan M. Ascher, Deborah Levine, Caroline Reinhold. Diagnostic Imaging Gynecology. AMIRSYS 2007. P.124-127.


Auteur Dr Aly ABBARA
1 Mars, 2020

Contacter Dr Aly ABBARA
  Paris / France