Hydrosalpinx abcédé - Infection génitale haute aiguë - échographie


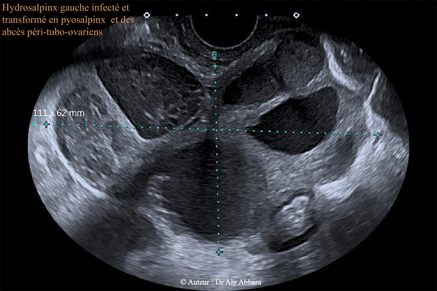
Image animée montrant l'aspect échographique d'un volumineux hydrosalpinx gauche
se compliquant d'une infection le transformant en volumineux pyosalpinx entouré par
de multiples abcès péritubo-ovariens et ovaire gauche remanié œdémateux.



Auteur : Dr Aly Abbara
Mise à jour : le 12 Décembre, 2020

aly-abbara.com
Paris / France