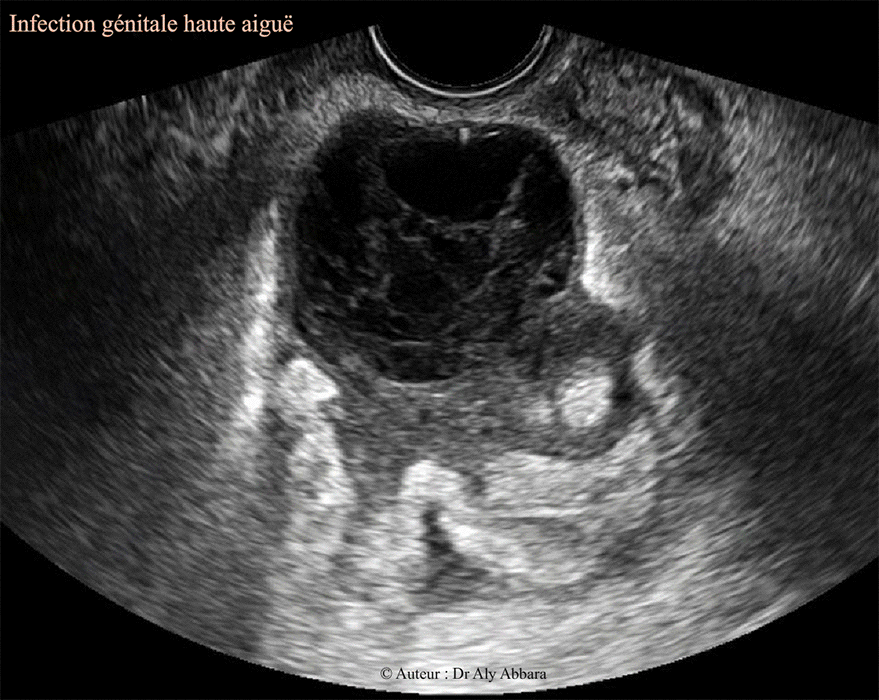
Salpingite aiguë et péritonite pelvienne - Echographie


Image animée montrant l'aspect échographique d'une
infection génitale haute, sévère : salpingite aiguë sans pyosalpinx ; abcès de l'ovaire et abcès péri-tubaire



Auteur : Dr Aly Abbara
Mise à jour : le 12 Décembre, 2020

aly-abbara.com
Paris / France