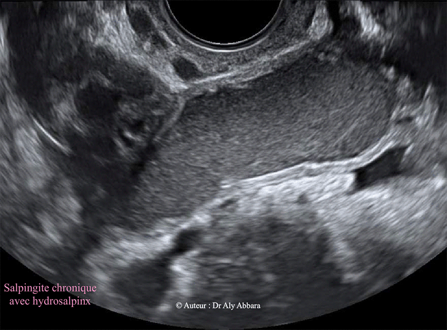
Salpingite chronique - Hydrosalpinx - Echographie


Image animée montrant l'aspect échographique d'une
salpingite chronique caractérisée par l'épaississement des parois tubaires et l'obstruction
de l'extrémité distale de la trompe à l'origine de la formation d'un volumineux hydrosalpinx



Auteur : Dr Aly Abbara
Mise à jour : le 12 Décembre, 2020

aly-abbara.com
Paris / France