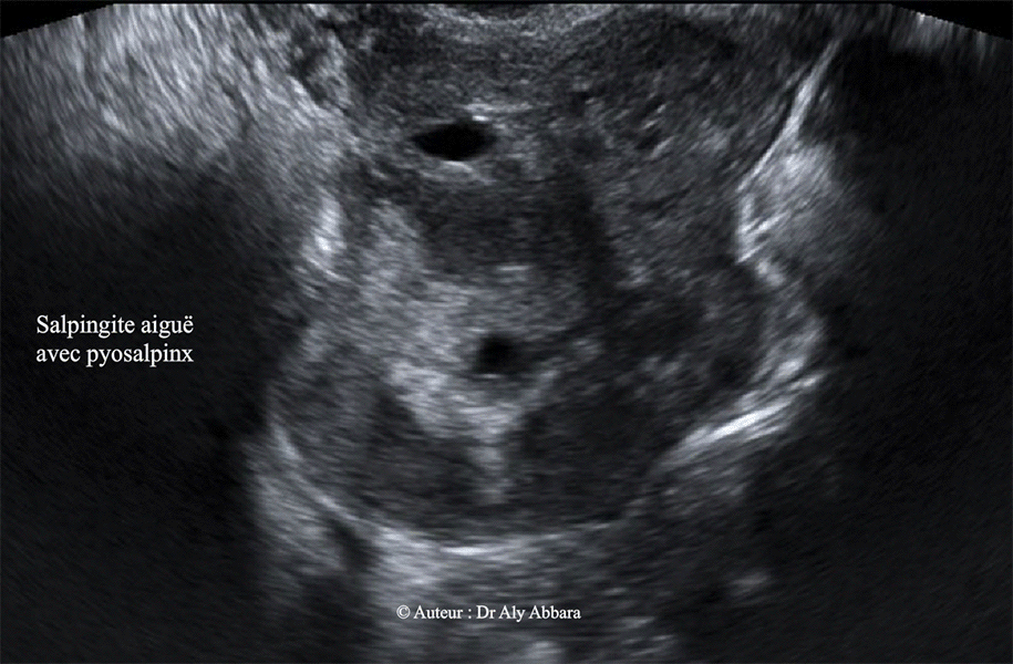
Image animée montrant l'aspect échographique d'une
salpingite aiguë sévère au stade de pyosalpinx
.
Voir aussi :
Salpingite aiguë sans pyosalpinx
Salpingite aiguë sans pyosalpinx avec un abcès de l'ovaire et un abcès péri-tubaire
Abcès de l'ovaire
Salpingite avec volumineux pyosalpinx bilatéral
Infection génitale haute avec abcès du cul-de-sac postérieur
Salpingite chronique avec hydrosalpinx
Salpingite chronique avec volumineux hydrosalpinx
Salpingite chronique avec poussée aiguë transformant un hydrosalpinx en pyosalpinx
Volumineux hydrosalpinx infecté et transformé en pyosalpinx avec des abcès péri-tubo-ovanriens
Salpingite chronique : pachysalpinx
Infections génitales hautes (IGH) : RPC 2012 / CNGOF
Auteur : Dr Aly Abbara
Mise à jour : le 12 Décembre, 2020
Livre de Gynécologie
Atlas d'échographie
Médecine fœtale
aly-abbara.com
Paris / France