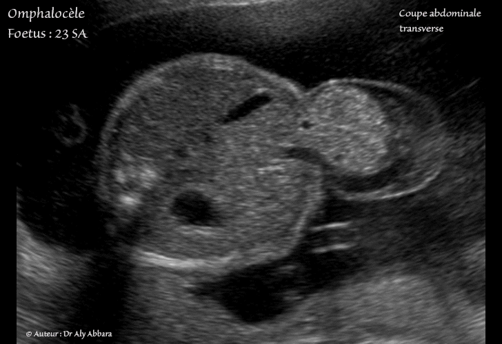
Omphalocèle isolée chez un foetus de 23 SA - Contenu composé des intestins exclusivement
Omphalocèle - Grossesse de 23 SA
Caryotype fœtale normal (46, XX)
  • Images échographiques montrant une grossesse de 23 SA caractérisée par la présence d'une omphalocèle contenant seulement une partie des anses grêles ; la non fermeture de la paroi abdominale antérieure mesure 15 x 22 mm et elle se situe au niveau de l'ombilic (étage moyen de l'abdomen).
    Le cordon ombilical s'insère sur le sac membraneux (le sac herniaire) entourant cette formation, puis il parcours son coté gauche avant d'entrer dans la cavité abdominale.

    Aucune anomalie fœtales associée à cette omphalocèle.

    Le caryotype fœtal ne montre pas d'anomalie chromosomique associée (46, XX).

  • Consulter aussi :
 

  • Omphalocèle :
    Synonyme : exomphalos ; coelosomie (cœlosomie ou célosomie) moyenne ; قيلة سرية

  • Incidence :
    • 1:3500-4000 naissances et 1:1000 grossesse en fin du premier trimestre.
    • Sex-ratio : F >M.

  • Description anatomique :
    • Une anomalie congénitale résultant de l'ectroptychie, donc un défaut de la fermeture de la paroi abdominale ventrale situé au niveau de l'anneau ombilical avec la non-réintégration des anses et souvent du foie ; elle est due à une anomalie du plissement de la collerette embryonnaire destinée à former la paroi abdominale.

      Il s'agit d'une célosomie (cœlosomie) moyenne ou d'une hernie plus ou moins importante des viscères abdominaux dans la base du cordon ombilical sous forme d'une tuméfaction située en avant, en dehors de la paroi abdominale ; elle est limitée vers l'extérieure par une fine membrane et reliée à la paroi abdominale ventrale par un collet, plus ou moins large ; elle contient dans la majorité des cas les anses intestinales et le foie et sa vésicule biliaire, la veine ombilicale, mais parfois on trouve l'estomac, la rate, la vessie, et le gros intestin.

      Le cordon ombilical s'insère sur cette tuméfaction herniaire.

      L'hydramnios (polyhydramnios) est fréquemment rencontré ; parfois l'ascite fœtale est présente.

      Les diamètres abdominaux sont diminués en raison de la migration des organes abdominaux dans le sac herniaire de l'omphalocèle.


  • Diagnostic différentiel :

    • La hernie ombilicale physiologique du premier trimestre Hernie ombilicale physiologique à 10 SA - Evolution de la grossesse : il s'agit d'un processus embryologique normal ; les grêles contenues dans la hernie intègrent la cavité abdominale rapidement, autour de 11 à 12 SA ; le fois n'est jamais contenu dans le sac herniaire.

    • Laparoschisis (gastroschisis) : le cordon s'insère normalement sur le ventre, à gauche du défaut de la fermeture de la paroi abdominale à travers lequel les anses grêles, et rarement le foie, s'extériorisent en dehors de l'enceinte de la cavité abdominale et flottent librement dans la cavité amniotique, non enveloppées par un sac membranaire.
      Le diagnostic différentiel entre la laparoschisis et l'omphalocèle peut être difficile quand cette dernière est rompue.

    • Le kyste du cordon ombilical Hernie ombilicale physiologique à 10 SA - Evolution : ce diagnostic différentiel s'impose quand il s'agit d'un kyste proximal du cordon ombilical ; il peut être unique ou multiple ; se voit au premier trimestre de la grossesse avec la possibilité d'une résolution spontanée.
      L'omphalocèle et le kyste du cordon ombilical peuvent coexister.

    • Le kyste de la gelée de Wharton : une dégénérescence kystique de la gelée de Wharton ; le kyste peut être isolé ou associé à l'omphalocèle.

    • Séquence cordon court Hernie ombilicale physiologique à 10 SA - Evolution : le fœtus s'adhère au placenta sans partie libre et flottant du cordon ombilical ; scoliose et anomalies des extrémités sont associées.

    • Hémangiome du cordon ombilical : il s'agit d'une masse hyperéchogène du cordon qui peut mimer une omphalocèle contenant des anses grêles denses.

    • Hernie ombilicale : l'hernie ombilicale est couverte pas la peau et la graisse du plan sous-cutané ; il s'agit d'un diagnostic rare in utero Hernie ombilicale.

  • Pathologies associées à l'omphalocèle :
    • Les anomalies pouvant être associées à la présence d'omphalocèle sont :
    • Les syndromes génétiques caractérisés par la présence d'omphalocèle :

      • Syndrome de Beckwith-Wiedemann : omphalocèle (75 % des cas) ; organomégalie (viscéromégalie, hépatosplénomégalie dans 32 % des cas, néphromégalie dans 23 % des cas...) ; cardiopathie (15 % des cas) ; macroglossie et macrosomie…

      • Pentalogie de Cantrell : haute omphalocèle (sus-ombilicale) ; ectopia cordis (exocardie) ; anomalies cardiaques ; défauts bas de fermeture sternal, péricardique et diaphragmatique.
        Des associations avec d'autres anomalies sont possibles : cardiopathie (tétralogie de Fallot), fente labiale, fente labiopalatine, exencéphalie, encéphalocèle, sirénomélie, aneuploïdies…


      • OEIS complexe (ou syndrome d'OEIS) : 1/200 000 naissances ; omphalocèle ; exstrophie vésicale ; imperforation anale ; anomalies du canal épinier ; parfois une exstrophie cloacale ; scoliose ; pieds bots et étroitesse du thorax…

      • Séquence cordon ombilical court

      • Syndrome de Meckel Gruber : synonyme : syndrome de Meckel (MKS) ou (dysencephalia - splanchnocystica)
        Ce syndrome inclut les les malformations suivantes :

    • Les anomalies associées à l'omphalocèle (dans 25 à 30 % des cas) :
  • Classification des omphalocèles :
    En fonction de la taille de l'omphalocèle :
    • Petite omphalocèle : ne contient que les anses grêles ; souvent associée à d'autres anomalies structurales et chromosomiques.
    • Omphalocèle géante : due à un large défaut de la fermeture de la paroi abdominale.

    En fonction du contenu de l'omphalocèle :
    • Le risque de la présence d'une anomalie chromosomique associée augmente quand l'omphalocèle ne contient que les anses grêles.


  • Références :
    • Références :
      • Woodward, Kennedy, Sohaey. EXPERT DDX Obstetrics. AMIRSYS 2009.
      • Bernard Guérin du Masgenêt, Yann Robert, Philippe Bourgeot, Philippe Coquel, Yves Ardaens. Masson 2009.
      • D. Gaillard, E. Alanio, C. Leroy. " Pathlogie foetale et placentaire pratique " ouvrage collectif de la Société française de Foetopathologie. Sauramps médical 2008.
      • Beryl BENACERRAF. Ultrasound of Fetal Syndromes. Second édition. Churchill Livingstone Elsvier, 2008. p:490;495.
      • CALLEN. Ultrasonography in Obstetrics and Gynecology - 5ème édition - Saunders Elsevier 2008..
      • William J. LARSEN. "Embryologie humaine". de boeck, 2ème édition, 2ème tirage - 2007.
      • Woodward, Kennedy, Sohaey. Diagnostic Imaging Obstetrics. AMIRSYS 2005.
      • Paula J; Woodward, Anne Kennedy. Roya Sohaey, Janice L.-P Byrne, Karen Y. Oh, Michael D. Puchalski " Diagnostic Imaging Obstetric ". Amirsys 2005.
      • Eberhard Merz. "Ultrasound in Obstetrics and Gynecology. Thieme 2005.
      • Michael Entezami, Matthias Albig, Adam Gasiorek-Wiens, Rolf Becker. " Ultrasound Diagnosis of Fetal Anomalies ". Georg Thieme Verlag 2004.
      • David A. Nyberg, John P Mc Gahan, Dolores H. Pretorius, Gianluigi Pilu " Diagnostic Imaging of fetal anomalies " Lippincott Williams Wilkins 2003.
      • Gilles Body, Franck Perrotin, Agnès Guichet, Christian Paillet, Philippe Descamps. " La pratique du diagnostic prénatal ". Masson 2001.
      • Gilles Body, Franck Perrotin, Agnès Guichet, Christian Paillet, Philippe Descamps. " La pratique du diagnostic prénatal ". Masson 2001.
      • E. Philippe, C. Charpin. Pathologie gynécologique et obstétricale. Masson 1992 : 190.
      • J.-Y. Gillet, G. Boog, Y. Dumez, I. Nisand, C. Vallette. " Echographie des malformations foetales " Vigot 1990.
      • Jean de GROUCHY, Catherine TURLEAU. " Atlas des maladies chromosomiques " 2ème édition, Expansion Scientifique Française - 1982.
      • Keith L. Moore. " L'être humain en développement - Embryologie orientée vers la Clinique ". Edisem Québec, Canada - Vigot frères Paris ; 1974.

  Auteur : Dr Aly Abbara
Mise à jour : le 4 Novembre, 2021




aly-abbara.com
Paris / France