Grossesse intra-utérine évolutive de 12 SA sous DIU (stérilet) au cuivre - Échec de l'effet contraceptif

 Images échographiques et séquence vidéo montrant une grossesse intra-utérine évolutive de 12 SA (Longueur Crânio-Caudale "LCC" = 56 mm) survenant au sein d'un utérus porteur d'un myome sous-séreux fundique (classe 7 de la classification FIGO 2011).

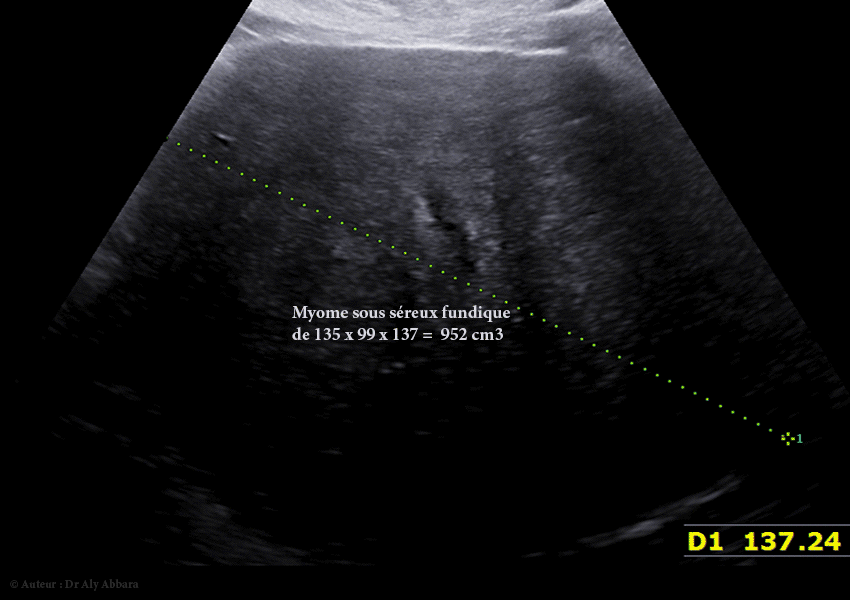
• Il s'agit d'un volumineux myome de 135 x 99 x 137 mm de diamètre, soit 952 cm3, asymptomatique, découvert fortuitement lors de la première échographie de datation (à 10 SA), chez une jeune femme, primipare de 31 ans.

L'évolution ultérieure de ce myome au cours de cette grossesse et du postpartum :

 Autodiaporama et représentation graphique montrant la croissance et la décroissance volumiques de ce myome au cours de cette grossesse et du postpartum

 Séquences vidéo et représentation graphique montrant la croissance et la décroissance volumiques de ce myome au cours de cette grossesse et du postpartum

• À 12 SA (952 cm3).
• À 17 SA : foyers de nécrobiose aseptique centraux (979 cm3).
• À 23 SA : dégénérescence kystique quasi totale (
1904 ml).
• À 25 SA : dégénérescence kystique quasi totale ; volume maximal de (2446 ml).
• À 28 SA : dégénérescence kystique quasi totale ; début de la décroissance volumique (1867 ml).
• À 32 SA : dégénérescence kystique quasi totale ; décroissance volumique (1647 ml).
• À 34 SA : dégénérescence kystique quasi totale ; décroissance volumique (1503 ml).

Accouchement par césarienne à 36,5 SA.

• Au jour 3 du postpartum : dégénérescence kystique quasi totale ; décroissance volumique (1330 ml).
 Au jour 38 du postpartum : dégénérescence kystique quasi totale ; décroissance volumique (1200 ml).
• Au jour 73 du postpartum : dégénérescence kystique quasi totale ; décroissance volumique (1119 ml).
 Au jour 104 du postpartum : dégénérescence kystique quasi totale ; décroissance volumique (968 ml).

• Myomectomie totale au 108e jour du postpartum.

• Contrôle par échographie pelvienne à la 14e semaine post myomectomie : utérus de forme habituelle, normale.


Auteur Dr Aly ABBARA
19 Juillet, 2021

Contacter Dr Aly ABBARA
  Paris / France