Grossesse intra-utérine évolutive de 12 SA sous DIU (stérilet) au cuivre - Échec de l'effet contraceptif

 Images échographiques montrant un utérus myomateux portant un myome sous-séreux fundique (classe 7 de la classification FIGO 2011). Images prises au 104ème jour du postpartum après un accouchement par césarienne au terme de 36,5 SA.

 Il s'agit d'un myome découvert fortuitement lors de la première échographie de datation (à 10 SA puis à 12 SA), chez une jeune femme, primipare de 31 ans. Une dégénérescence nécrotique kystique du myome est survenue dès le milieu du deuxième trimestre de la grossesse. L'enkystation nécrotique est devenue quasi totale au début de la 6ème mois de grossesse.

 Ce phénomène de dégénérescence nécrotique kystique était associé à une augmentation volumique rapide du myome jusqu'au milieu du 6ème de grossesse : 952 cm3 à 12 SA ; 979 cm3 à 17 SA ; 1902 cm3 à 23 SA, puis 2446 cm3 à 25 SA.

 À partir de la deuxième moitié du 6ème mois de grossesse, ce myome enkysté a commencé sa régression volumique de façon continue : 1867 cm3 (ou ml) à 28 SA ; 1647 cm3 à 32 SA ; 1503 cm3 à 34, SA.

 Cette régression volumique du myome utérin enkysté s'est poursuivie en postpartum : 1330 cm3 au 3ème jour du postpartum ; 1200 cm3 au 38ème jour du postpartum ; 1119 cm3 au 73ème jour du postpartum et enfin 968 cm3 au 104ème jour du postpartum (~ 15ème jour du postpartum).


• On remarque échographiquement que ce myome a pris
dès la 23ème SA une forme kystique liée à sa (dégénérescence nécrotique kystique).

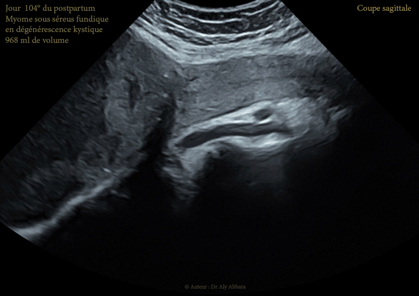
Au 104ème jour du postpartum, ce myome apparaît comme une énorme formation kystique de 968 cm3 de volume, vascularisée et attachée à la surface extérieure du fond utérin ; son contenu est trouble, liquidien, hypoéchogène avec des plages d'aspect nuageux liées à la présence de résidus flottants (nécrotiques).

• Symptômes : douleurs abdomino-pelviennes épisodiques provoquées par les mouvements de la moitié inférieure du tronc.

L'évolution de ce myome au cours de cette grossesse et du postpartum :

 Autodiaporama et représentation graphique montrant la croissance et la décroissance volumiques de ce myome au cours de cette grossesse et du postpartum

 Séquences vidéo et représentation graphique montrant la croissance et la décroissance volumiques de ce myome au cours de cette grossesse et du postpartum

 À 12 SA (952 cm3).
• À 17 SA : foyers de nécrobiose aseptique centraux (979 cm3).
 À 23 SA : dégénérescence kystique quasi totale (1904 ml).
 À 25 SA : dégénérescence kystique quasi totale ; volume maximal de (2446 ml).
• À 28 SA : dégénérescence kystique quasi totale ; début de la décroissance volumique (1867 ml).
 À 32 SA : dégénérescence kystique quasi totale ; décroissance volumique (1647 ml).
• À 34 SA : dégénérescence kystique quasi totale ; décroissance volumique (1503 ml).

Accouchement par césarienne à 36,5 SA.

• Au jour 3 du postpartum : dégénérescence kystique quasi totale ; décroissance volumique (1330 ml).
 Au jour 38 du postpartum : dégénérescence kystique quasi totale ; décroissance volumique (1200 ml).
• Au jour 73 du postpartum : dégénérescence kystique quasi totale ; décroissance volumique (1119 ml).
 Au jour 104 du postpartum : dégénérescence kystique quasi totale ; décroissance volumique (968 ml).

• Myomectomie totale au 108e jour du postpartum.

• Contrôle par échographie pelvienne à la 14e semaine post myomectomie : utérus de forme habituelle, normale.



Auteur Dr Aly ABBARA
19 Juillet, 2021

Contacter Dr Aly ABBARA
  Paris / France