Grossesse intra-utérine évolutive de 12 SA sous DIU (stérilet) au cuivre - Échec de l'effet contraceptif

 Images échographiques et séquences vidéo montrant une grossesse intra-utérine évolutive de 32 SA survenant au sein d'un utérus porteur d'un myome sous-séreux fundique (classe 7 de la classification FIGO 2011).

• Il s'agit d'un d'un volumineux myome de 120 x 160 x 165 mm de diamètres, soit = 1647 cm3, découvert fortuitement lors de la première échographie de datation (à 10 SA puis à 12 SA), chez une jeune femme, primipare de 31 ans.

• On remarque échographiquement que ce myome présentait à 17 SA, dans sa partie centrale, de nombreuses zones liquidiennes enkystées de nécrobiose aseptique
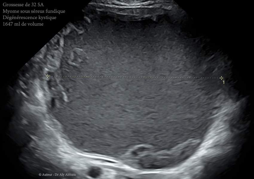
, mais dès la 23ème SA ce phénomène de (dégénérescence kystique du myome utérin) est devenu total : le myome a bien augmenté de volume (à 25 SA, il a atteint un volume maximal de 2446 ml contre 952 cm3 à 12 SA, puis à 28 SA ce volume baisse à 1867 et encore, 1647 ml à 32 SA par absorption partielle de son contenu fluidifié) ; il apparaît à ce terme (32 SA) comme une énorme formation kystique à contenu trouble, liquidien, hypoéchogène avec des plages d'aspect nuageux de résidus flottant (nécrotiques).

• Symptômes : douleurs abdomino-pelviennes épisodiques.

L'évolution ultérieure de ce myome au cours de cette grossesse et du postpartum :

 Courbe de croissance et décroissance volumique de myome au cours de cette grossesse et du postpartum

 À 12 SA (952 cm3).
• À 17 SA : foyers de nécrobiose aseptique centraux (979 cm3).
 À 23 SA : dégénérescence kystique quasi totale (1904 ml).
 À 25 SA : dégénérescence kystique quasi totale ; volume maximal de (2446 ml).
• À 28 SA : dégénérescence kystique quasi totale ; début de la décroissance volumique (1867 ml).
• À 32 SA : dégénérescence kystique quasi totale ; décroissance volumique (1647 ml).
• À 34 SA : dégénérescence kystique quasi totale ; décroissance volumique (1503 ml).

Accouchement par césarienne à 36,5 SA.

• Au jour 3 du postpartum : dégénérescence kystique quasi totale ; décroissance volumique (1330 ml).
 Au jour 38 du postpartum : dégénérescence kystique quasi totale ; décroissance volumique (1200 ml).
• Au jour 73 du postpartum : dégénérescence kystique quasi totale ; décroissance volumique (1119 ml).
 Au jour 104 du postpartum : dégénérescence kystique quasi totale ; décroissance volumique (968 ml).

• Myomectomie totale au 108e jour du postpartum.

• Contrôle par échographie pelvienne à la 14e semaine post myomectomie : utérus de forme habituelle, normale.



Auteur Dr Aly ABBARA
18 Juillet, 2021

Contacter Dr Aly ABBARA
  Paris / France